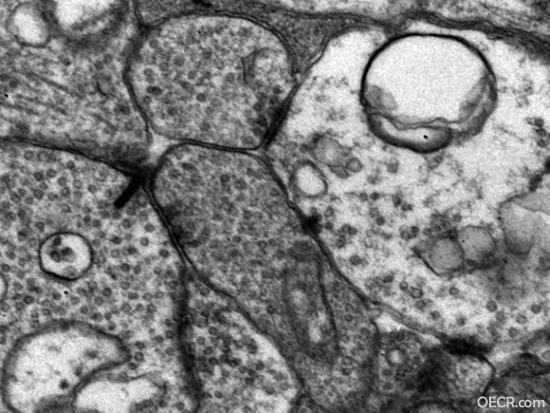
据美国《连线》杂志报道,美国编码人员和神经学家正联手合作,绘制兔眼后面的每一个细胞的显微图像,图像的数据大小可达20TB。 要实现这项大型革命性任务,他们必须借助定制软件、电子显微镜和一把异常锋利的刀。如果一切进展顺利,该科研组或许将成为第一个制作出能说明哺乳动物是如何看东西的神经回路图。 罗伯特·马克领导的科学家希望与他人分享这种方法。最近他们在《公共科学图书馆·生物学》杂志上罗列了利用一系列特殊工具绘制感觉器官图和收集数据的方法。这个软件是免费的,最终大量数据设置会使它形成网络化。下面是这些视觉探索家利用的工具和他们收集的一些非常令人震惊的图片。 1.老鼠视网膜:包含70多种神经元 马克的科研组正在对兔子的眼睛进行研究,不过以前的实验曾使用过老鼠。这个老鼠的视网膜包含70多种神经元。研究人员利用三种抗体给它们染色,以便确定它们分别是哪种细胞,并弄明白它们在做什么。 2.超薄切片机:切片比光波长还短 这些生物学家为了准备各种组织样本,进行电子显微镜扫描,他们先用一种被称作戊二醛的防腐剂浸泡这些组织,然后再用一种固体树脂取代组织里的水份。这个过程跟真人体模型展展出的干尸的制作过程非常类似。 树脂成型后,研究人员用Leica超薄切片机(ultramicrotome)把这些组织切成厚度仅为70纳米的薄片。超薄切片机是一种非常锋利的刀子,它能把物体切成比最窄的可见光波还细的小段。 3.透射电子显微镜:每天拍摄3000张照片 微软公司工程师,神经学研究生詹姆斯·安德森写的一份材料,可以让这种透射电子显微镜(transmission electron microscope,TEM)每天拍摄3000张高倍率照片。安德森的同事都来自德克萨斯州,因此他们用长角牛队(Texas Longhorns)的海报装饰这个仪器。 4.3个组织样本放在电子显微镜的基架上 研究人员为了制作30GB图像,已经对每个样本扫描一千多次。这些组织样本经电子束照射几个小时后,颜色开始变黄,从幻灯片上能看到这些圆形烧痕。这些痕迹预示着30GB图像的中心在哪里。 5.组织样本下面的成像室发出绿光 如果使用更落后的显微镜,研究人员会在这个部位放置一种特殊的照相胶片。这种电子探针微量分析仪(JEOL)利用一个电子探测器进行自动成像操作。 6.兔眼视网膜剖面 每个组织样本的第一批图片是在低倍率下拍摄的。这张图片展示了兔眼视网膜的剖面。这使我们对这个将被分成一千份的区域有了大致了解。不久后研究人员将在高倍率下扫描该区域。 7.兔眼视网膜剖面拼接图像 电子显微镜快速扫描这个区域后,自动放大倍率,用5,500X倍率拍摄了一千张图片。在放大像散现象的影响下,每张照片的边缘都被扭曲了。换句话说就是,显微镜使每一个组织的外形都发生了偏差。 为了纠正这个问题,科学计算和成像学研究所(SCI)的研究人员研发了定制软件,用来纠正扭曲的部分后,把这些图片拼成一张合成图。 8.兔眼视网膜双极细胞 这是构成合成图的一个片段,它显示的是5,500X倍率下的双极细胞。位于图片右侧的是一个普遍存在、但是至今仍是个谜的无长突细胞,它看起来比其他细胞更亮。 每个细胞里的黑色环状物都是气泡囊,气泡里塞满了发送信号的化学物质。每个气泡囊就是一个神经传递素的储存室,只有当一个细胞决定把信号传递给附近的细胞时,这些化学物质才会被释放出来。 9.观看视网膜合成图的大屏幕 研究人员可以通过科学计算和成像学研究所的一个由24寸液晶显示屏组成的大屏幕上,观看视网膜合成图。这里距离他们的显微镜实验室仅有几步之遥。他们的遥控装置是一个iPhone(手机上网),他们可以利用普通手势放大、缩小图像,或者移动图像。 从屏幕上很容易看到每个神经的神经键,这是神经细胞彼此之间的连接,一个细胞发出的信号可通过它传递给另一个细胞。图片上的暗处和裂缝是每张图片的重要部分,即使是最好的软件,也无法看到所有这些特殊部位。 10.浏览程序类似谷歌地球 普通台式机甚至不能把一张30GB的图片的一部分下载到它的内存里,更不用说下载整张图片了。因此科学计算和成像学研究所的研究人员利用与锥形处理方法和谷歌地球浏览界面类似的方法写了一个程序。他们借助这个程序,可以快速浏览数据,标注神经键或其他有趣的发现。 11.不健康的兔眼部分区域 研究人员利用一台黑白电子显微镜,很容易鉴别出每一个细胞,但是给它们染色后,他们将会发现更多与细胞有关的重要信息。这张抽象图的鲜艳颜色能让研究人员弄清楚每个细胞都在做什么。 电子显微镜不能分辨彩色物质,因此马克的实验室研发了一个工作区。他们用粘附着银色粒子的抗体给每个细胞做标记,重点突出一个特殊化学物质所在区,例如氨基酸谷氨酸盐。在电子显微图中,每个银色粒子就是一个亮点,利用电脑很容易把这些点变成彩色。通过鉴别每种颜色,科学家就能确定这些细胞到底释放了多少信息传递素。 这张特殊图像显示的是一个不健康的兔眼的部分区域。如果这个彩色图案与健康兔眼的图案不一样,研究人员就能通过它提供的线索,断定导致兔眼出现问题的原因。马克和他的科研组把这种方法称之为计算分子显形。 |





|手机版|搜索|焦点光学|光电工程师社区
( 鄂ICP备17021725号-1 鄂网安备42011102000821号 )
Copyright 2015 光电工程师社区 版权所有 All Rights Reserved.
申明:本站为非盈利性公益个人网站,已关闭注册功能,本站所有内容均为网络收集整理,不代表本站立场。如您对某些内容有质疑或不快,请及时联系我们处理!
© 2001-2022 光电工程师社区 网站备案号:鄂ICP备17021725号 网站公安备案号:鄂42011102000821号 Powered by Discuz! X3.2
GMT+8, 2025-12-24 15:41